1、80%以上的口臭来源都是口腔本身,我们称为口源性口臭也就是隐藏在牙齿间牙囊及舌后隐窝中的细菌将食物残渣分解成有恶臭气味的挥发性硫化物气体 口腔里,一些细菌会将食物中的蛋白质分解代谢,将一些含硫的氨基酸继续分解成带有味道的气体,也就是可挥发性硫化物,可能有臭鸡蛋气味,除了硫化氢,还有甲硫醇二甲基。
2、原因分析1食物残留与细菌滋生牙齿上的洞为食物残渣提供了嵌塞空间,细菌分解这些残渣时会产生挥发性硫化物如硫化氢甲硫醇,这些物质具有强烈异味龋齿破坏了牙釉质,形成粗糙表面,进一步加剧细菌附着与代谢2牙髓感染风险若龋齿未及时治疗,细菌可能侵入牙髓腔,引发牙髓炎或根尖周炎此时。
3、牙齿很臭的原因及改善措施如下一主要原因 口腔卫生不良未养成刷牙习惯不使用牙线或刷牙方式不正确,会导致食物残渣滞留于牙缝牙龈沟等部位细菌分解残渣后产生挥发性硫化物如硫化氢甲硫醇,形成异味长期忽视口腔清洁还会引发牙菌斑堆积,加重口臭饮食习惯食用大蒜洋葱咖啡酒精等刺激性。
4、牙齿臭可能由以下原因引起1 口腔卫生不良若日常不刷牙不使用牙线,或刷牙方式不彻底,食物残渣会滞留在牙缝舌苔等部位细菌分解这些残渣后,会产生硫化物等挥发性物质,导致口腔异味例如,进食后未及时清洁,残留的蛋白质被细菌分解,会释放出类似“腐臭”的气味2 牙菌斑与牙结石牙菌斑是。
5、牙齿很臭的解决方法如下一改善口腔卫生习惯口腔卫生不良是导致口臭的常见原因若不刷牙不使用牙线或刷牙不彻底,食物残渣会在口腔内滋生细菌,分解产生挥发性硫化物等异味物质建议每天早晚彻底刷牙,每次不少于2分钟,使用软毛牙刷并配合含氟牙膏每日至少使用一次牙线清理牙缝,避免食物嵌塞餐后可用。
6、牙齿里的东西很臭,主要与食物残留细菌滋生及口腔疾病相关,具体机制如下1 食物残留的分解作用食物残渣滞留在牙齿缝隙牙面或牙龈沟时,会被口腔内的细菌如厌氧菌分解这一过程会产生挥发性硫化物如硫化氢甲硫醇及胺类物质,这些化合物具有强烈臭味,是口臭的主要来源若未及时清洁,残留。
7、牙齿臭的原因主要有以下几种蛀牙是常见原因之一蛀牙洞内易残留食物残渣,细菌分解这些残渣后会产生硫化物等挥发性气体,导致口臭若蛀牙未及时治疗,洞内细菌持续繁殖,异味会逐渐加重牙龈炎表现为牙龈红肿出血,同时可能伴随口臭其成因是牙菌斑堆积引发牙龈组织炎症,细菌代谢产物和坏死组织释放异味。
8、牙齿臭可能由以下原因引起1口腔卫生不良未及时刷牙使用牙线或定期洗牙,会导致食物残渣和细菌在牙齿表面堆积细菌分解食物残渣时会产生挥发性硫化物等异味物质,这是口臭的常见原因2牙菌斑和牙结石牙菌斑是牙齿表面形成的粘性生物膜,若未及时清除会逐渐钙化为牙结石牙结石中的细菌会持续分解食物残渣,产生难闻气味,同时刺激牙龈引。
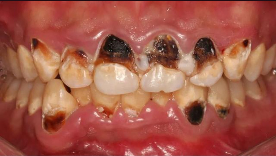
9、牙齿里面有洞很臭是因为食物残渣在洞内发酵坏死所致牙齿上发生龋洞后,由于龋洞的存在,使得局部容易存积食物残渣,同时这些残渣在口腔刷牙时又不容易被彻底清除如果不及时进行刷牙,这些食物残渣就会在牙洞内聚集随着时间的推移,这些残渣会发酵坏死,进而产生一种很臭的味道原因分析食物残渣。

10、2龋齿龋齿是牙齿硬组织被细菌破坏形成的龋洞,洞内残留的食物残渣被细菌分解后,会产生腐败性气味若龋洞未及时填充,细菌持续繁殖会加重口臭及时治疗龋齿,通过补牙或根管治疗修复龋洞,可消除异味来源3牙周炎牙周炎是牙龈及牙槽骨的慢性炎症,常伴随牙龈出血牙齿松动等症状牙周袋内细菌大量。
11、牙齿缝隙很臭的主要原因是牙周疾患和清洁不到位以下是具体原因及建议牙周疾患牙周致病菌会利用牙缝中的食物残渣进行代谢,代谢物发出臭味清洁不到位刷牙不彻底如果日常刷牙时没有彻底清洁牙缝,食物残渣会残留在牙缝中,引发细菌滋生和臭味牙线使用不足牙线能有效清除牙缝中的食物残渣和牙菌斑。
12、牙齿缝里很臭,若情况比较严重,可以采取以下措施进行洗牙治疗原因牙齿缝里很臭可能是由于牙结石或牙龈炎等口腔问题所造成的牙结石是牙齿表面附着的矿化或正在矿化的菌斑及软垢,这些物质在牙齿缝隙中积累并产生异味措施定期进行洗牙治疗可以有效去除牙结石和牙菌斑,改善口腔卫生状况,从而减轻。
13、牙臭主要由以下原因导致1口腔卫生不良若未按时刷牙漱口,食物残渣会在口腔内残留并堆积,经细菌分解后产生异味食物残渣为细菌提供了繁殖所需的“养料”,细菌大量增殖后代谢产生含硫化合物等臭味气体,类似长期未清理的角落滋生脏污和异味2龋齿牙齿上的龋洞易藏匿食物残渣和细菌,这些物质在龋洞。
14、一般导致牙齿臭会有两种原因,患者要根据不同病因选择不同的治疗方法,第一不注意口腔卫生引起,第二龋齿导致如果是由于口腔卫生不良造成,患者口腔内就会存在很多细菌以及牙结石,从而造成牙齿臭此时需要进行超声波洁牙,有效去除牙结石和口内细菌如果是第二种原因,由于龋齿造成牙臭,就需要对。
15、牙齿有洞且内部发臭,主要由龋病牙髓坏死或智齿冠周炎引发,具体机制与表现如下一龋病细菌如变形链球菌代谢食物残渣产生酸性物质,侵蚀牙齿硬组织形成龋洞洞内积聚的食物碎屑细菌及其代谢产物在厌氧环境下发酵腐败,产生硫化氢等挥发性硫化物,导致臭味龋病初期表现为牙齿表面白垩色或褐色斑点,龋。
16、牙齿里面的残渣发臭,主要与口腔内的消化酶和细菌作用有关口腔是一个复杂的微生物环境,其中存在大量细菌,包括厌氧菌等当食物残渣残留在牙齿表面牙缝或龋洞中时,这些细菌会迅速分解残渣中的蛋白质碳水化合物等成分在此过程中,细菌会产生多种具有异味的代谢产物,如硫化氢甲硫醇等挥发性。
17、牙齿缝隙里很臭,可通过以下方法改善1 去除嵌塞食物,缓解局部炎症若牙齿邻面存在龋洞或牙缝较大,食物残渣易嵌塞其中,发酵后产生异味此时需用牙线或冲牙器清理牙缝,避免残留物持续发酵若嵌塞引发牙间乳头炎表现为牙龈红肿出血,需及时就诊,由医生进行局部冲洗上药,消除炎症2 修复。

